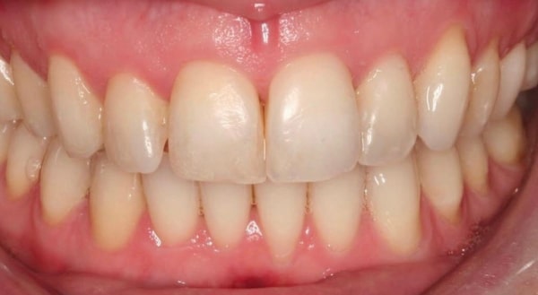
At Campden House Dental, Invisalign® gently straightens teeth for a natural, confident smile — discreet,…
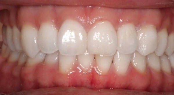
Read moreStraighten your teeth discreetly with Invisalign® at Campden House Dental, a comfortable, custom plan that gives…
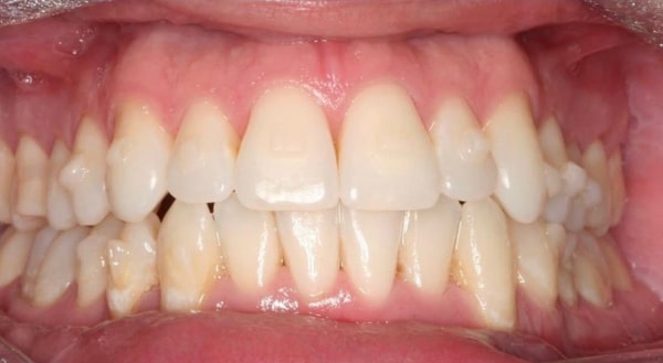
Read moreAchieve a beautifully aligned smile with Invisalign® at Campden House Dental, clear, comfortable, and tailored just…
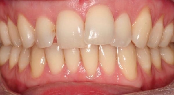
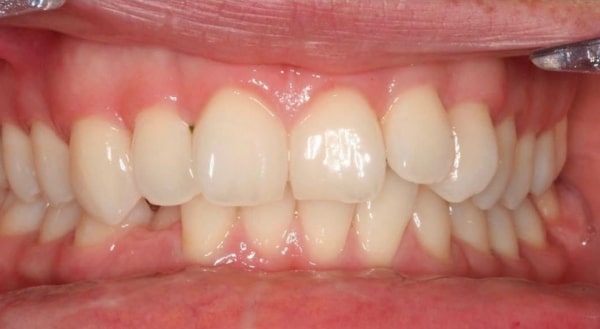
Read moreThis smile makeover at Campden House Dental uses composite bonding to gently reshape and enhance…
Read moreFrom routine care to advanced dentistry, we offer a full range of treatments to keep your smile healthy and confident.